서울니어치과 임플란트
핵심 원칙 3가지
Painless
아프지 않아야 합니다.
서울니어치과의 치료 제1원칙입니다.
Customize
개개인의 특성에 맞는
맞춤형 시술 및 보철이 이루어져야 합니다.
Sustainability
한번 심은 임플란트
오래 사용 할 수 있어야 합나다
서울니어치과 원주점은 환자분들의
최상의 만족도를 위한 지속적인 연구와
더 나은 치료를 위해 노력합니다.
" 임플란트 성공률 98.4% "
임플란트 치료의 시작과 끝은 대표원장이 책임집니다.
수면 임플란트, 무통마취 등으로 통증은 적고
회복은 빠를 수 있도록 노력합니다.
교합 안정화 유도 프로그램, 개인 맞춤형 보철 제작으로
더 오래 사용할 수 있도록 하고자 합니다.
서울니어치과 임플란트
핵심 원칙 3가지
Painless
아프지 않아야 합니다.
서울니어치과의 치료 제1원칙입니다.
Customize
개개인의 특성에 맞는
맞춤형 시술 및 보철이 이루어져야 합니다.
Sustainability
한번 심은 임플란트
오래 사용 할 수 있어야 합나다
임플란트 과정으로 알아보는
NEAR Lifetime™ 장점
NEAR Lifetime Implant 01
진단 및 치료계획
마치 임플란트 공장처럼 진료하는 덤핑 치과에서는 원장님들이 수술 할 때 환자의 상태를 처음 보는 경우도 있습니다.
서울니어치과에서는 있을 수 없는 일입니다.
사전에 분과별 원장님들간 치료 계획을 공유하고 점검합니다.
NEAR Lifetime Implant 02
수술
01. 경험 많은 수술전담의
오스템 임플란트사에서 조사한 결과에 따르면, 평균적으로
치과 의사들은 1년에 4~50개 정도의 임플란트를 식립합니다.
서울대학교 치과대학 출신 통합치의학과 의료진이 있는
서울니어치과의 임플란트 식립량은 연 수천개입니다.
의사의 경험과 의사의 실력은 큰 상관관계가 있습니다.
02. 검증된 수술 장비
니어치과에는 수술을 위한 최고의 장비들이 구비되어 있습니다.
수술방마다 고조도의 무영등이 설치되어 있으며 고성능의 임플란트 엔진과 검증된 수술 키트를 사용합니다.
좋은 도구는 좋은 결과를 낳습니다.
03. 임플란트 매식체 (뿌리)
내몸에 들어가기에 뼈에 식립되는 임플란트 또한 가리고 또 가려서 좋은 것들만 준비했습니다. 많은 임상 데이터를 통해 가장 적합하다고 판단되는 국내 판매 1위 오스템 임플란트를 준비했습니다.
그런데 임플란트 회사마다 여러가지의 임플란트
라인업이 있다는 것을 알고 계신가요?
서울니어치과에서는
최상위 라인업인 오스템 SOI를 사용합니다.
04. 임플란트 수술
수술에 대한 두려움을 극복하게 해주는 수면 임플란트, 수술의 불편함을 줄여주는 개인 맞춤형 임플란트, 고난도 치조골이식술 및 상악동거상술 등 모든 종류의 고난도 수술이 니어치과에선 가능합니다.
NEAR Lifetime Implant 03
중간체크 및 점검
한 번 심은 임플란트를 오래 쓰기 위해서는 꼼꼼한 점검이 필요합니다.
서울니어치과에서는 수술이 끝난 후 치유는 잘 일어나고 있는지, 수술자리는 잘 아물어 가고 있는지, 환자분의 치유능력은 어떤지 확인하고 환자의 개개인의 상태에 맞는 향후 치료계획을 수립합니다.
서울니어치과 임플란트
핵심 원칙 3가지
Painless
아프지 않아야 합니다.
서울니어치과의 치료 제1원칙입니다.
Customize
개개인의 특성에 맞는
맞춤형 시술 및 보철이 이루어져야 합니다.
Sustainability
한번 심은 임플란트
오래 사용 할 수 있어야 합니다.
환자분들의 따뜻한 배려 속에 저희에게도 오늘이 행복한 날로 기억될 수 있도록 함께 웃어주세요.

임플란트 과정으로 알아보는
NEAR Lifetime™ 장점
NEAR Lifetime Implant 01
진단 및 치료계획
마치 임플란트 공장처럼 진료하는 덤핑 치과에서는 원장님들이 수술 할 때 환자의 상태를 처음 보는 경우도 있습니다. 서울니어치과에서는 있을 수 없는 일 입니다.
사전에 분과별 원장님들간 치료 계획을 공유하고 점검합니다.
NEAR Lifetime Implant 02
수술
01. 경험 많은 수술전담의
오스템 임플란트사에서 조사한 결과에 따르면, 평균적으로 치과 의사들은 1년에 4~50개 정도의 임플란트를 식립합니다.
서울대학교 치과대학 출신 통합치의학과 의료진이 있는 서울니어치과의 임플란트 식립량은 연 수천개입니다.
의사의 경험과 의사의 실력은 큰 상관관계가 있습니다.
02. 검증된 수술 장비
니어치과에는 수술을 위한 최고의 장비들이 구비되어 있습니다.
수술방마다 고조도의 무영등이 설치되어 있으며 고성능의 임플란트 엔진과 검증된 수술 키트를 사용합니다. 좋은 도구는 좋은 결과를 낳습니다.
03. 임플란트 매식체 (뿌리)
내몸에 들어가기에 뼈에 식립되는 임플란트 또한 가리고 또 가려서 좋은 것들만 준비했습니다.
많은 임상 데이터를 통해 가장 적합하다고 판단되는 국내 판매 1위 오스템임플란트를 준비했습니다.
그런데 임플란트 회사마다 여러가지의 임플란트 라인업이
있다는 것을 알고 계신가요?
서울니어치과에서는 최상위 라인업인 오스템 SOI를 사용합니다.
04. 임플란트 수술
수술에 대한 두려움을 극복하게 해주는 수면 임플란트, 수술의 불편함을 줄여주는 개인 맞춤형 임플란트, 고난도 치조골이식술 및 상악동거상술 등 모든 종류의 고난도 수술이 니어치과에선 가능합니다.
NEAR Lifetime Implant 03
중간체크 및 점검
한번 심은 임플란트 오래 쓰기 위해서는 꼼꼼한 점검이 필요합니다.
서울니어치과에서는 수술이 끝난 후 치유는 잘 일어나고 있는지,
수술자리는 잘 아물어 가고 있는지, 환자분의 치유능력은 어떤지 확인하고
환자의 개개인의 상태에 맞는 향후 치료계획을 수립합니다.
NEAR Lifetime Implant 04
고정력 검사

서울니어치과 원주점에서는 보철과정을 시작하기 전 임플란트 안정도 검사(고정력 검사)를 실시합니다. 이를 통해 임플란트의 골유착능을 객관적인 수치로 파악하고 보철과정의 세부계획을 수립할 수 있습니다.
Osstell Mentor System은 임플란트의 안정성을 객관적이고 비침습적으로 판단하고 치유 프로세스를 위태롭게 하지 않으면서 골유착능 진행 상황을 평가할 수 있도록 도와줍니다.
NEAR Lifetime Implant 04
보철과정
01. 인상채득
치과도 바야흐로 디지털 시대입니다. 서울니어치과에서는 통상의 고무 인상재를 통한 인상채득이 아닌, 디지털 스캐너를 통한 인상채득을 추구합니다. 고성능 스캐너인 3shape사의 Trios를 구비하여 편하고 정확한 인상채득 시스템을 구현하고 있습니다.
02. 중간보철 장착
최종 보철물 제작하기 전 교합 안정화유도 프로그램을 통해 턱관절 위치, 교합, 저작 패턴의 안정화를 유도합니다.
NEAR Lifetime™ 임플란트
교합 안정화유도 프로그램
임플란트가 잇몸뼈에 고정된 후 바로 본을 떠 보철을 올리면
치아 주변으로 음식물이 낀다거나 잘 씹히지 않는
증상이 생길 가능성이 매우 높아집니다.
이는 치아가 갑자기 생기면서 턱관절 위치 및 교합,
저작 패턴의 변화가 발생하기 때문입니다.
서울니어치과는 이를 예방하기 위해 임플란트 임시치아를 사용하여 턱관절 위치, 교합, 저작 패턴의 안정화를 유도합니다.
임시치아 사용으로 환자분의 내원 횟수와 병원 직원 수고도 많아지지만, 좋은 결과와 환자분의 만족이 병원의 존재 가치라는 이념하에 쉬운 길로 가거나 타협하지 않습니다.
NEAR Lifetime Implant 05
보철과정
01. 인상채득
치과도 바야흐로 디지털 시대입니다. 서울니어치과에서는 통상의 고무 인상재를 통한 인상채득이 아닌, 디지털 스캐너를 통한 인상채득을 추구합니다.
고성능 스캐너인 3shape사의 Trios 을 구비하여 편하고 정확한 인상채득 시스템을 구현하고 있습니다.
02. 중간보철 장착
최종 보철물 제작하기 전 교합 안정화유도 프로그램을 통해 턱관절 위치, 교합, 저작 패턴의 안정화를 유도합니다.
NEAR Lifetime™ 임플란트
교합 안정화유도 프로그램
임플란트가 잇몸뼈에 고정된 후 바로 본을 떠 보철을 올리면 치아 주변으로 음식물이 낀다거나 잘 씹히지 않는 증상이 생길 가능성이 매우 높아집니다.
이는 치아가 갑자기 생기면서 턱관절 위치 및 교합, 저작 패턴의 변화가 발생하기 때문입니다.
서울니어치과는 이를 예방하기 위해 임플란트 임시치아를 사용하여 턱관절 위치, 교합, 저작 패턴의 안정화를 유도합니다.
임시치아 사용으로 환자분의 내원 횟수와 병원 직원 수고도 많아지지만,
좋은 결과와 환자분의 만족이 병원의 존재 가치라는 이념하에 쉬운 길로 가거나 타협하지 않습니다.
NEAR Lifetime Implant 06
최종보철
01. 자체 기공실 보유
보철물은 육안으로 식별이 어려운 미세한 차이로 환자에게 큰 이질감을 줄 수도, 편안함을 줄 수도 있습니다.
서울니어치과에서는 정확한 환자 데이터를 기반으로 담당 원장과 오랜 경력의 치과기공와 협력하여 개인맞춤형 보철을 디자인합니다.
원내에 자체 기공실이 자리잡고 있는 만큼 빠른 시일내에 결과물을 만나볼 수 있으며, 의료진과의 적극적인 커뮤니케이션을 통해
오차는 최소화하고 조금이라도 불편함이 있다면 신속하게 수정하여 가장 편안한 보철물을 완성합니다.

02. 프리미엄 지르코니아 블럭
임플란트의 머리(crown)를 구성하는 지르코니아의 중요함은 따로 말할 필요도 없습니다.
지르코니아 보철물은 지르코니아 블록을 깎아서 제작합니다. 이 지르코니아 블록은 지르코니아 분말을 통해 만들어집니다.
니어치과에서는 품질의 우수성이 확인된 100% 토소분말로 제작된 지르코니아 블록을 사용합니다.
NEAR Lifetime Implant 07
수술 후
보증기간 및 사후관리
서울니어치과에서는 임플란트 진료를 받으신 환자분들께 보다 여유있는 보증기간을 약속드리는 진료 보증서를 발급해드립니다. 보증서에 명시된 기간 내 내원하시는 모든 환자분들께 지속적인 정기검진과 사후관리 서비스를 보증합니다.
※ 보증 정책 적용은 정기검진을 충실히 이행할 경우에만 적용됩니다.
정기검진
사후관리
매식체
보철
※ 해당 보증 정책은 오스템 SOI등급을 기준으로 합니다.
NEAR Lifetime Implant 07
수술 후
보증기간 및 사후관리
지속가능한 임플란트를 위한 시스템이 구축된 서울니어치과에서는 임플란트 진료를 받으신 환자분들께는 보다 여유있는 보증기간을 약속드리는 진료 보증서를 발급해드립니다. 보증서에 명시된 기간 내 내원하시는 모든 환자분들께 지속적인 정기검진과 사후관리 서비스를 보증합니다.
※ 보증 정책 적용은 정기검진을 충실히 이행할 경우에만 적용됩니다.
정기검진
사후관리
매식체
보철
※ 해당 보증 정책은 오스템 SOI등급을 기준으로 합니다.
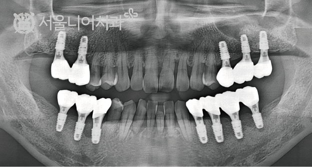
before & after
꼭 필요한 치료만을 권해드리는 서울니어치과의 임플란트 시술 사례
before
after
case 1. 70대 여성 / ?? / 오스템 SOI 임플란트 ?개 / 상악동
case 1. 70대 여성 / ?? / 오스템 SOI 임플란트 ?개 / 상악동
case 1. 70대 여성 / ?? / 오스템 SOI 임플란트 ?개 / 상악동
case 1. 70대 여성 / ?? / 오스템 SOI 임플란트 ?개 / 상악동
case 5. 70대 남성 / 잇몸병으로 상실된 다수 치아 / 오스템 SOI 임플란트 8개 / 뼈이식
before & after
꼭 필요한 치료만을 권해드리는
서울니어치과의 임플란트 시술 사례
before
after
case 1. 전악 임플란트
before
after
case 2. 전악 임플란트
before
after
case 3. 전악 임플란트
before
after
case 4. 전악 임플란트
자주 묻는 질문
니어치과를 찾는 분들이 자주 묻는
임플란트에 관한 궁금증
033-734-0007
강원특별자치도 원주시 신지정로 190, 센트럴타워 3층 서울니어치과 원주점
T. 033-734-0007 ㅣ F. 033-734-1999
@2024 Seoulnear dental clinic. All rights reserved.
강원특별자치도 원주시 신지정로 190, 센트럴타워 3층 서울니어치과 원주점
대표전화 033-734-0007 / 팩스 033-734-1999
Copyright © 2021 Seoul NEAR Dental Clinic WonJu. All right reserved.
서울니어치과의 의료진들도 겁이 많습니다. 그래서 환자분들의 통증을 결코 가볍게 생각하지 않습니다.
전혀 아프지 않을 순 없지만 가장 덜 아픈 방법을 찾아 고민합니다. 또한 잇몸을 절개하고 봉합하는 등 과정이 많아지면 그만큼 통증, 붓기를 피하기 어렵습니다.
이에 가능한 한 아프지 않도록 시술하는 것을 원칙으로 삼고 있습니다.
더불어 환자가 극도로 치과공포증에 시달리는 경우 낮 잠을 자듯 가벼운 느낌 속에서 통증을 느끼지 않고 안전한 시술이 가능한 수면마취 시스템을 적용할 수 있습니다.
과잉진료는 저희도 싫어합니다. 꼼꼼하고 정확한 분석을 바탕으로 환자에게 꼭 필요한 진료만을 제시해드립니다.
1. 냉찜질은 10분 간격으로 수술 후 48시간 동안만 해주세요.
- 수술한 부위에 핫팩 사용을 금합니다.
- 많이 붓고 멍이 들 수 있습니다.
2. 수술한 부위는 칫솔질을 삼가하시고, 같이 처방된 소독약으로 가글해 주세요.
- 소독은 하루 2회 정도하시면 됩니다.
- 소독은 소독약을 다 사용할 때 까지만 하시면 됩니다.
- 처방된 소독약(헥사메딘)의 뚜껑을 이용하세요.
- 소독약1:물2 비율로 희석해서 사용해 주세요.
3. 음주와 흡연을 수술 후 4주간 삼가해 주세요.
4. 처방된 약은 지시에 따라 복용하여 주세요.
- 속쓰림, 설사, 가려움, 발적 등의 이상 증상이 있는 경우 일단 복용을 중단한 후 치과로 연락바랍니다.
5. 수술 후 4주간은 편안한 휴식이 중요합니다.
- 격한 운동, 밤샘근무, 과로 등은 피해주세요.
- 충분한 수면을 취해주세요.
6. 임플란트 치료 종료시까지는 질기고 거친 음식, 뜨겁거나 자극적인 음식은 피하세요.
사전에 각 분야별 전문의들과 체계적인 협진을 통해 환자의 상태를 꼼꼼하게 살펴 계획을 수립하여 부작용을 최소화 할 수 있도록 노력합니다.
임플란트는 수술 전 부터 수술 중, 이후의 관리까지 모든 단계가 중요하기에 전 과정에 있어서 까다롭게 관리하고 있습니다.
개인맞춤형 보철설계&디자인 적용 및 원내 기공센터 등을 통해 치료기간 및 내원횟수를 단축시켜 보다 빠른 시간 안에 마무리 될 수 있도록 노력합니다.
또한 진료시간을 맞추기 어려운 분들을 위해 평일 밤 야간진료는 물론 토요일 진료로 언제나 진료가 이루어집니다.